दांतों पर लाल, पीले, भूरे रंग के दाग हैं? इन्हें घर पर ही हटाने का नुस्खा जान लीजिए
दांतों पर दाग आखिर जमा क्यों हो जाते हैं. क्या सरसों के तेल में नींबू-नमक मिलाकर रगड़ने से दांत साफ हो जाएंगे. और दांतों से दाग हटाने के लिए कौन-सा मेडिकल ट्रीटमेंट सबसे असरदार है. डॉक्टर से सब जानिए.

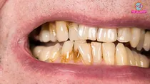
आप शीशे में अपना चेहरा देख रहे थे. थोड़ा मुस्कुराए, तो नज़र पड़ी दांतों पर. वो दांत जिनका रंग सफेद से बदलकर पीला, भूरा और लाल हो चुका है. आप रोज़ रगड़कर ब्रश भी करते हैं. पर ये निशान इतने जिद्दी कि जाने का नाम ही नहीं ले रहे. अब आलम ये है कि आप खुलकर हंस भी नहीं पाते.
पर टेंशन मत लीजिए. दांतों पर जमा इन दागों को घर पर ही हल्का कर सकते हैं. कैसे, चलिए डॉक्टर साहब से समझते हैं. ये भी जानेंगे कि दांतों पर दाग आखिर जमा क्यों हो जाते हैं. क्या सरसों के तेल में नींबू-नमक मिलाकर रगड़ने से दांत साफ हो जाएंगे. और दांतों से दाग हटाने के लिए कौन-सा मेडिकल ट्रीटमेंट सबसे असरदार है.
दांतों पर दाग यानी टीथ स्टेन्स के कारणये हमें बताया डॉक्टर तनु गुप्ता ने.

दांतों पर दाग ख़राब पानी की वजह से हो सकते हैं. सही तरीके से और रेगुलरली ब्रश न करने की वजह से हो सकते हैं. तंबाकू खाने और बहुत ज़्यादा कोल्ड ड्रिंक पीने से हो सकते हैं. ज़्यादा कॉफी पीने और स्मोकिंग करने से भी दांतों पर दाग हो सकते हैं.
दांतों के दाग हल्का करने के घरेलू नुस्खे- रोज़ सुबह और शाम सही तरीके से ब्रश करें
- दिन में एक बार एक गिलास गुनगुने पानी में थोड़ा-सा नमक डालकर अच्छे से कुल्ला करें
- इससे दांतों पर जमा प्लाक और गंदगी साफ हो जाती है
- हो सके तो दिन में एक बार माउथवॉश का इस्तेमाल करें
- इससे दांतों पर दाग जमने की संभावना कम होती है

सरसों के तेल में नींबू-नमक मिलाने से दांत साफ़ नहीं होते. ये सिर्फ एक मिथ है. हमारी डाइट और खाने-पीने की आदतें काफी बदल चुकी हैं. इसलिए बेहतर यही है कि हम दिन में दो बार ब्रश करें और गुनगुने पानी से कुल्ला करें.
दांतों से दाग हटाने के लिए मेडिकल ट्रीटमेंटदांतों से दाग एकदम हटाने के लिए डॉक्टर के पास जाएं. दांतों की सफाई के लिए अल्ट्रासोनिक स्केलर मशीन से प्रोफेशनल क्लीनिंग करानी चाहिए. हर 3 से 4 महीने में एक बार डेंटिस्ट को ज़रूर दिखाना चाहिए. अगर दांतों में कैविटी या कोई और समस्या हो रही हो, तो उसका भी समय पर इलाज कराना चाहिए. इसके लिए डॉक्टर के पास जाना ज़रूरी है.
(यहां बताई गई बातें, इलाज के तरीके और खुराक की जो सलाह दी जाती है, वो विशेषज्ञों के अनुभव पर आधारित है. किसी भी सलाह को अमल में लाने से पहले अपने डॉक्टर से ज़रूर पूछें. दी लल्लनटॉप आपको अपने आप दवाइयां लेने की सलाह नहीं देता.)
वीडियो: सेहत: दांतों पर जमे दाग हटाने की बेस्ट ट्रिक

